陶瓷貼片打造女神級笑容:陶瓷貼片流程、價格一次看!
近年不少膾炙人口的韓劇,捧紅許多韓國演員及偶像,像是朴敏英等人,這些熱門演員的共通點都是有著一口美牙,可以大方綻放璀璨笑容!而許多明星、藝人藉由陶瓷美白貼片的功效讓笑容更加分,也是演藝圈公開的秘密,舉例來說朴敏英的笑容就收服不少劇迷!
韓國藝人-朴敏英
演出《金秘書為何那樣》、《她的私生活》及《氣象廳的人們》
朴敏英不管是真心笑、假笑、大笑,都給人甜美不膩、超級溫柔的模樣,重點在於如何控制笑容弧度露出潔白牙面,燈光加持後營造出璀璨光芒,連女生都超級心動!

(圖片:來源自Google)
想擁有韓星般的的亮麗皓齒嗎?
雅德思牙醫診所陶瓷美白貼片讓劇迷們輕鬆達陣,輕鬆露齒而笑不再是夢,接下來就跟著雅德思牙醫診所來了解陶瓷美白貼片的說明跟流程吧!
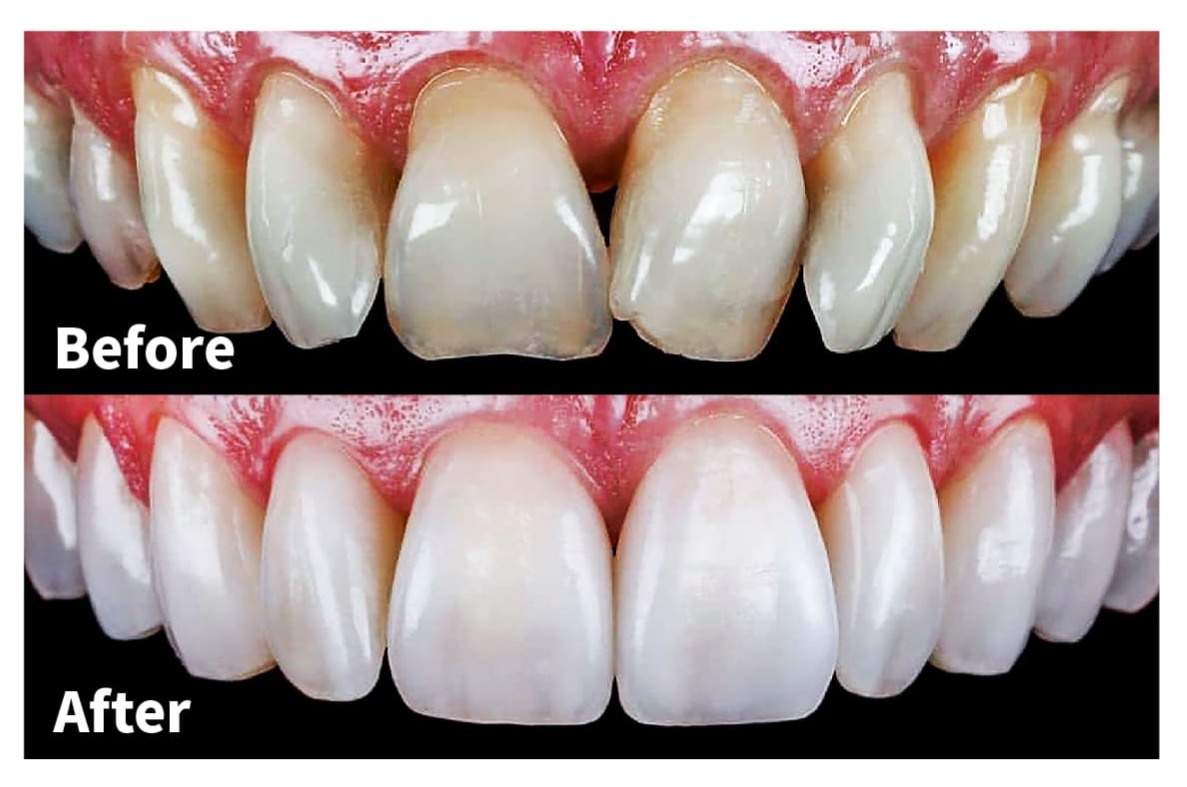
陶瓷美白貼片 牙齒如鑽石般的閃亮
陶瓷美白貼片,原理是利用陶瓷不易染色且可塑性較強的特色為優勢,在牙齒外層如做光療指甲般稍微修磨,將0.3~0.7mm約隱形眼鏡般厚度的陶瓷貼片以特殊的黏著劑貼合在牙齒表面,讓齒面達到透亮美白的效果並使牙齒有多一層的保護;雅德思牙醫診所使用的陶瓷貼片,能延長使用期限之外,也能讓美白效果更持久。

▲陶瓷美白貼片,牙齒如鑽石般的閃亮。
陶瓷美白貼片適合哪些人?
1.齒色偏黃,陶瓷貼片美白齒色。
2.齒縫過大,陶瓷貼片密合齒縫。
3.齒列不正,陶瓷貼片微調修正。
4.齒型缺損,陶瓷貼片完善齒型。
5.想要擁有韓星般璀璨笑容的人!

▲做完美白貼片,除了有亮白皓齒,連齒列都更整齊了!
想要進行陶瓷美白貼片也需要注意,若原生齒的齒質已經受損嚴重,或有牙周健康問題導致牙齦萎縮,應先由牙醫師專業評估後,針對口腔健康狀況治療,避免進行陶瓷美白貼片時造成牙齒敏感或其他衍生口腔疾病。
美白陶瓷貼片常見問題TOP3
陶瓷美白貼片流程三步驟
要進行美白陶瓷貼片的療程,主要分成三個步驟:
Step1. 蒐集牙齒相關數據,包括齒型、齒列、齒縫等,與專業牙醫師討論希望的齒色及狀態後進行陶瓷貼片的設計。
Step2. 將模擬貼片置入牙齒後的效果,第二次溝通確認需求後修磨牙齒。
Step3. 等正式陶瓷美白貼片製作完成,利用特殊黏著劑貼附於齒面即可大功告成擁有韓星璀璨笑容!
陶瓷美白貼片價格?
普遍市面上的陶瓷貼片,價格是以「單顆」約25000~30000為計算;而雅德思牙醫診所有多種貼片材質費用15000-18000/顆,立即擁有韓星璀璨笑容的亮白皓齒不再是夢!
陶瓷壽命及術後照顧事項
對於美白陶瓷貼片的保養,其實跟真牙的養護方式大同小異,利用牙刷及牙線進行正確的刷牙方式最為重要!陶瓷貼片的硬度其實也跟真牙相仿,避免吃過硬的食物防止貼片及真牙受損;若有需要也可以在睡覺時佩戴防磨牙的咬合板;並定期回牙醫診所做基礎口腔健康檢查,由牙醫師檢視貼片完整性即可。
小貼片大學問,貼片材質要注意!
市面上有許多牙齒美白的產品,消費者選購時更要睜大眼睛,部分無執照美容工作室主打「免磨牙」的美白貼片,常是以樹脂為材質厚厚的黏在齒面上的「樹脂貼片」,既不美觀又容易造成牙齦發炎及蛀牙,需謹慎挑選。
現代人對臉部美學的觀念,早已不限於五官,牙齒也是一樣,貼片的製作不是愈整齊或愈白愈好,而是需要考量到臉型、嘴型、齒色等全方位的視角,才能打造像韓星般的高質感,以及宛如天生的完美笑容!
像美白貼片此類療程還須由牙醫師的專業診斷及精密的工藝;雅德思牙醫診所秉持專業且平價的醫療收費、舒適的環境及優質的產品3大原則,公開陶瓷美白貼片的流程、貼片品牌、材質以及價格,就是為了讓消費者選購更放心,能早日擁有心中韓劇偶像般的璀璨笑容!若有任何牙齒及口腔的問題,歡迎直接洽詢雅德思牙醫診所,將有專人為您服務,解決您的困擾。

